Glenview, Illinois 60025
Understanding the Different Head and Brain Injuries Associated with Motorcycle Accidents
Motorcycle accidents can be devastating, and head and brain injuries are among the most common and serious harm a motorcyclist can suffer besides death. Head and brain injuries can result in long-term physical and emotional damage that can affect a motorcyclist for years to come. As personal injury lawyers, it is our job to help sufferers of these accidents get the compensation they need to move forward with their lives. If you have suffered a head or brain injury related to a motorcycle accident or if you have injured another part of your body in an accident, contact an attorney to pursue compensation related to your injuries.
Common Head and Brain Injuries in Motorcycle Accidents
Here are common injuries to look out for, including:
- Traumatic brain injury (TBI) – This is arguably the most severe kind of injury that stems from a significant impact on the brain. TBIs can seriously impact the life of the sufferers. TBIs are also linked to cognitive decline as well as functional loss concerning essential life functions such as speaking, swallowing, and balancing, among other effects.
- Concussion – This is a form of traumatic brain injury that can range from mild to severe and which are often associated with being knocked unconscious. A motorcyclist’s head can strike the pavement, other vehicles, or equipment, leading to a concussion. These serious injuries can lead to cognitive impairment, including memory loss, insomnia, and a change in mood.
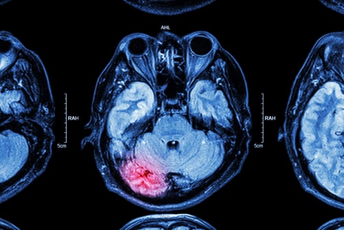
- Intracranial hemorrhage – These can occur after the brain experiences trauma, resulting in bleeding within the brain and inside the skull. This form of injury is an emergency and must be addressed immediately. If not promptly addressed, comas or death can occur.
- Diffuse axonal injury – This is when the brain shakes back and forth in the skull. This can result in torn axons and damage to the neutral connectors in the brain. These kinds of injuries can be especially severe for motorcyclists, as diffuse injuries typically occur during high-impact accidents.
Contact a Northbrook Motorcycle Accident Attorney
In the aftermath of many head and brain injuries, the injured party may be unable to return to work for an extended period, if at all. Furthermore, medical costs related to these injuries can be costly, primarily because the care often required may be long-term care and assistance. To help offset these costs and pursue compensation, call the experienced Cook County motorcycle accident lawyers with Gruzmark Law, Ltd.. Call 847-729-7660 for a free consultation.
Source - https://www.mayoclinic.org/diseases-conditions/traumatic-brain-injury/symptoms-causes/syc-20378557





